• Home
  • Bio
  • Cases
  • About
  • Services
  • Media
  • Referrals
  • Contact

Dr. Goth Siu, Prosthodontist, Toronto, ON

Cosmetic, Implant and Reconstructive Dentistry

  • Home
  • Bio
  • Cases
  • About
  • Services
  • Media
  • Referrals
  • Contact

Single Crown

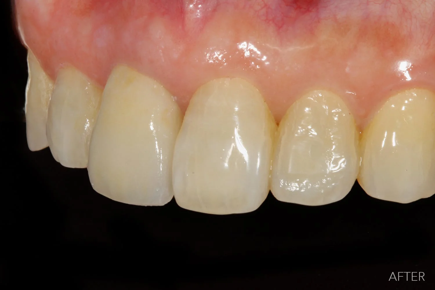
Problem:

This patient had a broken front tooth and she did not wanted it extracted. 

Treatment:

In order to save the tooth, a customized post was placed in the tooth to hold a porcelain crown. Customized staining for the crown ensured a good color match with the surrounding teeth.

Ceramist: Yuzo Matsumura RDT

HOME   |   BIO   |   CASES   |   ABOUT   |   SERVICES   |   REFERRALS  |  MEDIA   |   CONTACT

© Dr. Goth Siu, BHSc, DMD, MS, Cert. Prostho., FRCD(C), FACP