• Home
  • Bio
  • Cases
  • About
  • Services
  • Media
  • Referrals
  • Contact

Dr. Goth Siu, Prosthodontist, Toronto, ON

Cosmetic, Implant and Reconstructive Dentistry

  • Home
  • Bio
  • Cases
  • About
  • Services
  • Media
  • Referrals
  • Contact

Porcelain Crowns

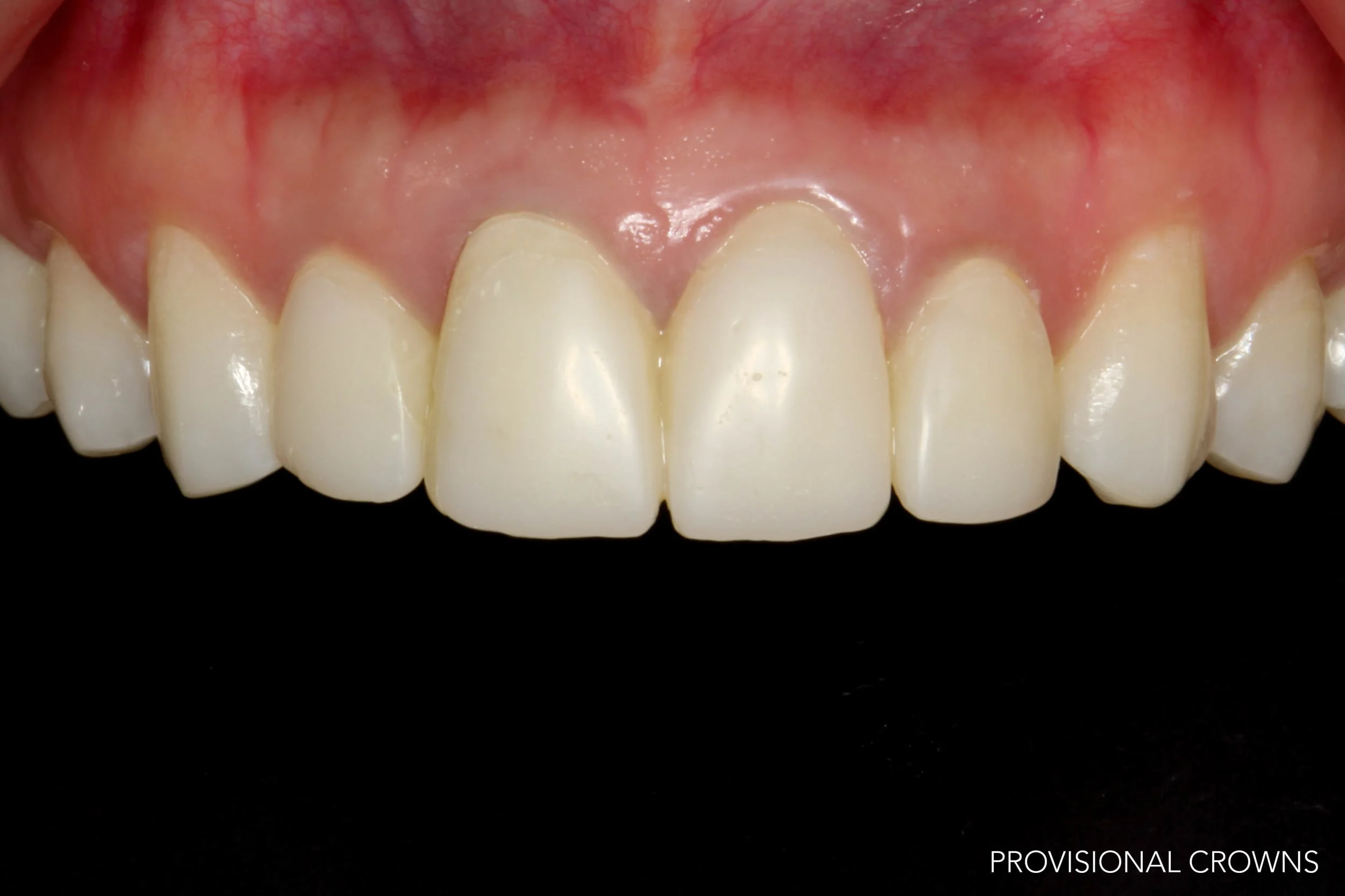
Problem:

This patient was unhappy with her 2 existing porcelain crowns and more unhappy with the color/shape mismatch of her 2 temporary crowns.

Treatment:

4 new provisional crowns were made for her immediately so she can feel confident with her smile while the new porcelain crowns were made.

HOME   |   BIO   |   CASES   |   ABOUT   |   SERVICES   |   REFERRALS  |  MEDIA   |   CONTACT

© Dr. Goth Siu, BHSc, DMD, MS, Cert. Prostho., FRCD(C), FACP