• Home
  • Bio
  • Cases
  • About
  • Services
  • Media
  • Referrals
  • Contact

Dr. Goth Siu, Prosthodontist, Toronto, ON

Cosmetic, Implant and Reconstructive Dentistry

  • Home
  • Bio
  • Cases
  • About
  • Services
  • Media
  • Referrals
  • Contact

Metal-Ceramics

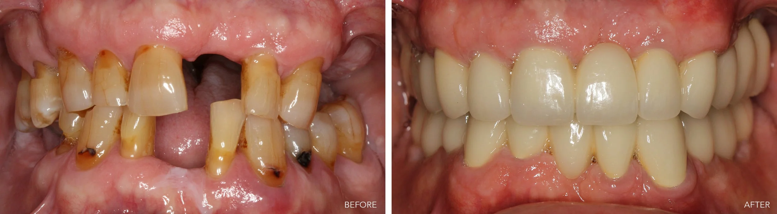
Problem:

This patient had many missing teeth and neglected his oral health. He finally decided to have a full mouth fixed.

Treatment:

Dental implants were used to replace the missing back teeth and bridges were fabricated to restore the front teeth.  The patient wanted very white teeth since he never had nice teeth!

HOME   |   BIO   |   CASES   |   ABOUT   |   SERVICES   |   REFERRALS  |  MEDIA   |   CONTACT

© Dr. Goth Siu, BHSc, DMD, MS, Cert. Prostho., FRCD(C), FACP