• Home
  • Bio
  • Cases
  • About
  • Services
  • Media
  • Referrals
  • Contact

Dr. Goth Siu, Prosthodontist, Toronto, ON

Cosmetic, Implant and Reconstructive Dentistry

  • Home
  • Bio
  • Cases
  • About
  • Services
  • Media
  • Referrals
  • Contact

Implants & Ceramics

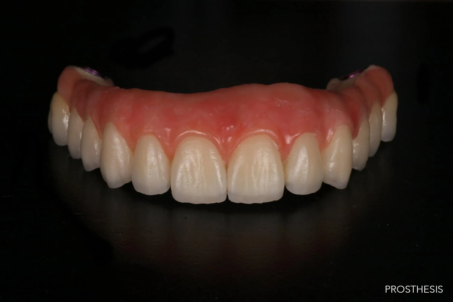
Problem:

This patient had severe gum disease that severely loosened his teeth. He was also in a car accident that knocked his teeth looser.

Treatment:

6 dental implants were placed immediately after his teeth were removed. A full arch ceramic prosthesis was secured to the implants and the patient’s ability to eat was restored. 

HOME   |   BIO   |   CASES   |   ABOUT   |   SERVICES   |   REFERRALS  |  MEDIA   |   CONTACT

© Dr. Goth Siu, BHSc, DMD, MS, Cert. Prostho., FRCD(C), FACP