• Home
  • Bio
  • Cases
  • About
  • Services
  • Media
  • Referrals
  • Contact

Dr. Goth Siu, Prosthodontist, Toronto, ON

Cosmetic, Implant and Reconstructive Dentistry

  • Home
  • Bio
  • Cases
  • About
  • Services
  • Media
  • Referrals
  • Contact

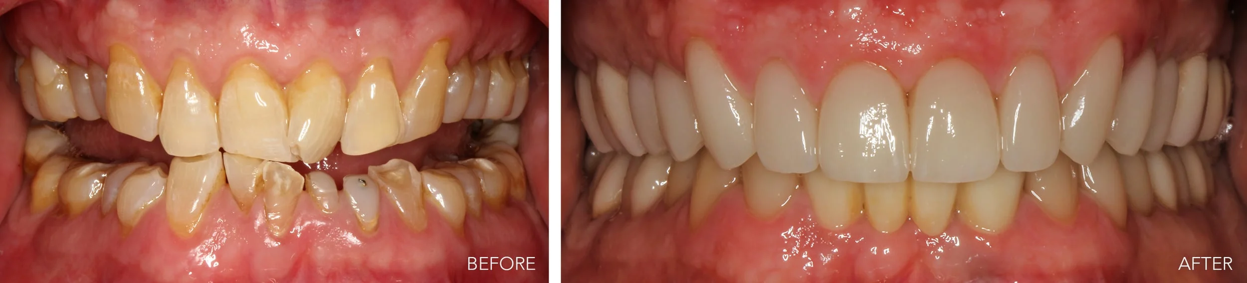
Full Mouth Reconstruction

Problem:

This patient is a vegetarian and has a very fibrous diet. This resulted in severe wear of his teeth, leading to poor esthetics and a “bad bite”.

Treatment:

His teeth were prepared minimally and crowns were made. Different materials were used in different areas in the mouth. Front crowns were made with more translucent and esthetic materials while back teeth were made with stronger but more opaque materials. 

IMG_7840_edit new.jpg

HOME   |   BIO   |   CASES   |   ABOUT   |   SERVICES   |   REFERRALS  |  MEDIA   |   CONTACT

© Dr. Goth Siu, BHSc, DMD, MS, Cert. Prostho., FRCD(C), FACP